

Same-Day
Dental Implants
Jaw Surgery &
Facial Cosmetics
Dr. Alexander Antipov delivers life-changing results with All-on-4 and All-on-6 full arch dental implants, orthognathic jaw surgery, facial cosmetic surgery, and organic bone grafting — backed by 25+ years of board-certified expertise.

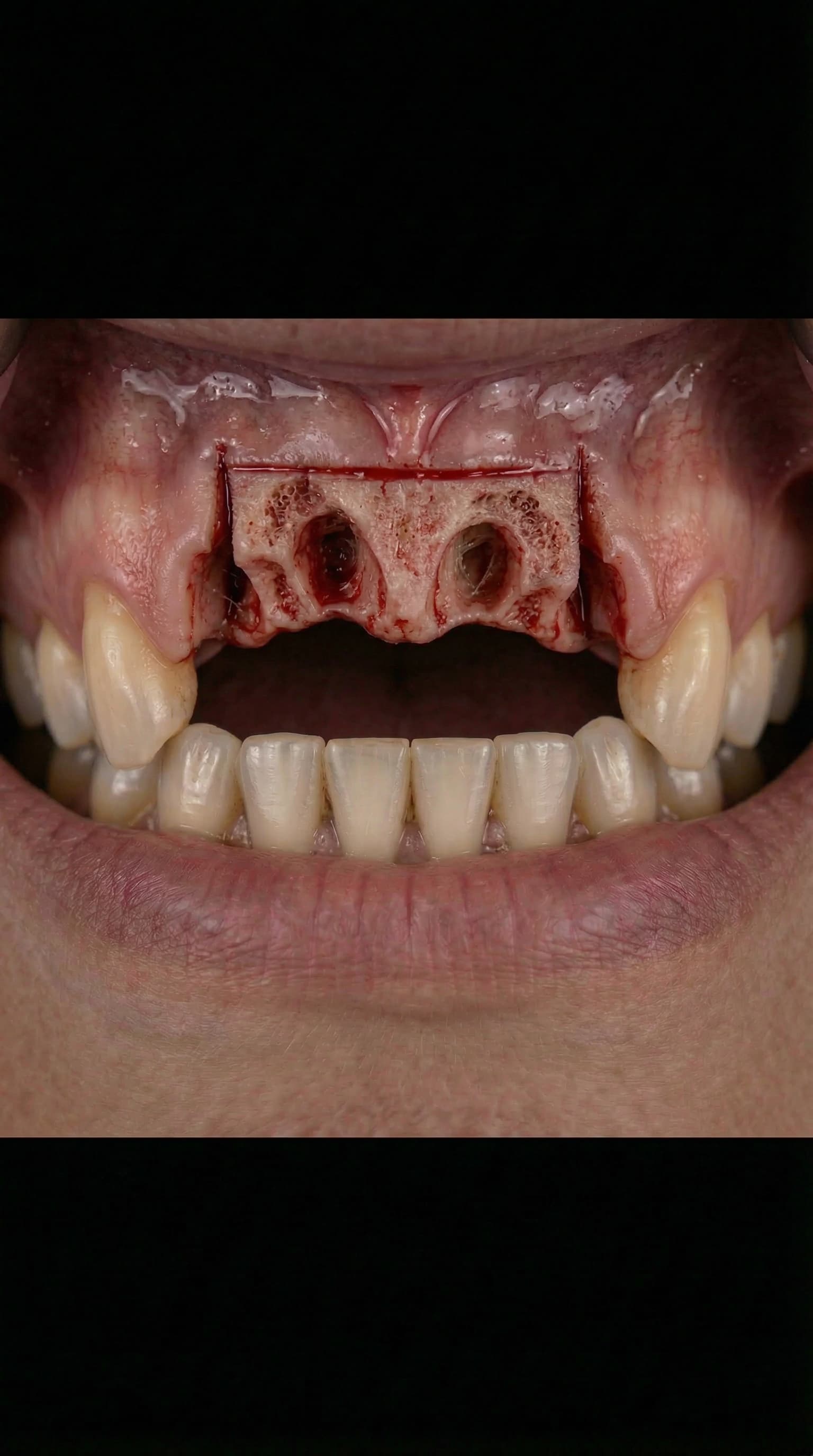
Extraction Socket
The Dental Implant Journey — from extraction to your new permanent smile
Advanced Surgical
Specialties & Procedures
From same-day full arch dental implants and zygomatic implants to complex orthognathic jaw surgery, facial cosmetic procedures, and holistic bone grafting — Dr. Antipov combines cutting-edge 3D technology with 25+ years of board-certified surgical expertise to deliver results that transform lives across Northern California.

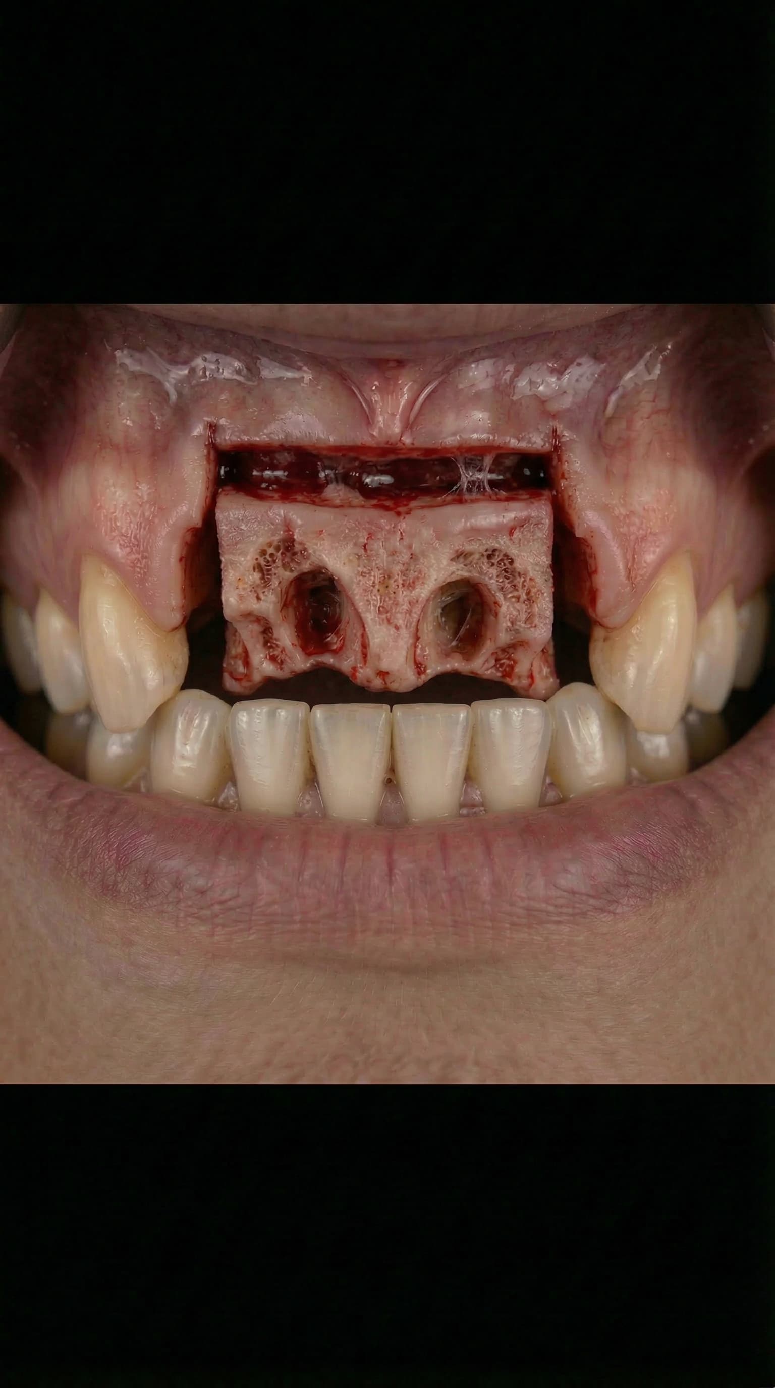
Full Arch Dental Implants
Receive a complete set of permanent teeth in a single visit with our All-on-4 and All-on-6 immediate-load implant protocols. Dr. Antipov uses 3D cone beam CT imaging and computer-guided surgical templates for precise, predictable placement — even for patients who have been told they don't have enough bone. For severe upper jaw bone loss, we offer zygomatic implants anchored to the cheekbone, eliminating the need for extensive bone grafting. Every full arch case includes same-day temporary teeth so you never leave without a smile.

Corrective Jaw Surgery
Computer-planned orthognathic surgery to correct jaw misalignment, restore bite function, and achieve facial harmony. Dr. Antipov treats underbites (Class III malocclusion), overbites (Class II malocclusion), open bites, crossbites, facial asymmetry, and obstructive sleep apnea. Procedures include Le Fort I osteotomy (single-piece and 3-piece), bilateral sagittal split osteotomy (BSSO), genioplasty (chin repositioning), maxillomandibular advancement, and double jaw surgery. Every case uses 3D virtual surgical planning for millimeter-precise results.

Facial Cosmetic Surgery
Refine your natural features with expert facial cosmetic procedures performed by a board-certified oral and maxillofacial surgeon who understands facial anatomy at the deepest level. Services include rhinoplasty (nose reshaping), rhytidectomy (face lift), upper and lower blepharoplasty (eyelid surgery), Asian double eyelid surgery, facial feminization surgery, scarless mole removal using radio wave technique, Juvederm dermal fillers, lip augmentation, and autologous fat transfer for facial volume restoration.

Bone Grafting & Sinus Lifts
Advanced bone regeneration using organic and holistic bone grafting materials to rebuild jawbone lost to tooth extraction, periodontal disease, or trauma. Dr. Antipov performs sinus lift surgery (sinus augmentation), ridge augmentation, socket preservation, block bone grafts, and guided bone regeneration (GBR). We offer autogenous (your own bone), allograft, xenograft, and synthetic bone graft options — including minimally processed, naturally derived materials for patients who prefer a holistic approach to dental implant preparation.

Oral Surgery
Comprehensive oral surgery including impacted wisdom teeth extraction, complex tooth removal, surgical exposure of impacted teeth for orthodontics, TMJ disorder treatment (temporomandibular joint surgery), cyst and tumor removal, and pre-prosthetic surgery. All procedures are performed under comfortable IV sedation or general anesthesia at our fully equipped Roseville surgical center. Dr. Antipov is fellowship-trained to handle even the most complex cases with precision and care.

Single & Multiple Tooth Implants
Whether you are missing one tooth or several, dental implants provide the most natural and durable replacement available. Dr. Antipov places single tooth implants with immediate temporary crowns, implant-supported bridges to replace multiple adjacent teeth, and snap-on dentures (overdentures) for patients who want a removable implant-retained option. Each implant is precisely placed using 3D CT guidance and medical-grade titanium for permanent osseointegration with your jawbone.
Full Arch Transformation
Watch a complete All-on-4 dental implant journey — from damaged teeth to a brand new smile. Every step performed by Dr. Antipov at our Roseville office.

Severely worn and damaged upper teeth — patient unable to eat or smile comfortably
Ready for Your Transformation?
Full arch dental implants starting at $21,000/arch. Same-day teeth available. Free 3D CT scan and consultation.
See How Each Procedure Works
Explore detailed 3D animations of dental implant placement, jaw surgery, wisdom teeth extraction, and more. Understanding your procedure helps you feel confident and prepared.
Featured: Patient Testimonial Video
From Free Consultation to
Permanent Smile
A clear, four-step path to the smile you deserve — starting with a complimentary consultation and 3D CT scan at our Roseville office. Whether you need dental implants, jaw surgery, or facial cosmetic procedures, every step is guided by Dr. Antipov's board-certified expertise and advanced technology.
Free Consultation & 3D CT Scan
Your journey starts with a complimentary consultation at our Roseville office. Dr. Antipov performs a thorough examination with a free 3D cone beam CT scan, discusses your goals, develops a personalized treatment plan for dental implants, jaw surgery, or cosmetic procedures, and reviews all financial options — at no cost to you.
Computer-Guided Surgery Day
On procedure day, Dr. Antipov uses 3D surgical guides and computer-assisted planning for precise execution. For dental implants, your All-on-4 or All-on-6 implants are placed and same-day temporary teeth attached — all under comfortable IV sedation. For jaw surgery, 3D virtual planning ensures millimeter-accurate repositioning.
Guided Recovery & Healing
Our team monitors your progress with scheduled follow-up visits. For implant patients, we track osseointegration as your titanium implants fuse permanently with your jawbone. For jaw surgery patients, we coordinate closely with your orthodontist. You'll have direct access to Dr. Antipov's team throughout your recovery.
Permanent Results for Life
Once healing is complete, your permanent prosthesis is placed — custom-crafted from premium zirconia or porcelain. These teeth look, feel, and function like natural teeth. Titanium dental implants are designed to last a lifetime with routine care, and jaw surgery results are permanent. Welcome to your new smile.
Treatment Cost Estimator
Get a personalized price estimate in 60 seconds. All-inclusive pricing with no hidden fees. 0% APR financing available up to 84 months. Price-match guarantee — your final cost is confirmed at your free consultation with a complimentary 3D CT scan.
What treatment are you considering?
Select the procedure you're interested in. Not sure? Choose the closest match — we'll refine at your free consultation.
Two Experts. One Mission.
Our practice brings together decades of combined surgical experience, advanced training, and a shared commitment to exceptional patient care.

Board Certified
Oral & Maxillofacial Surgery
Diplomate, American Board of Oral & Maxillofacial Surgery. Specializing in All-on-4 dental implants, zygomatic implants, orthognathic jaw surgery, and facial cosmetic procedures. Serving Roseville, Sacramento, San Francisco, and all of Northern California.
Dr. Alexander
Antipov, DDS
Dr. Alexander Antipov is a board-certified oral and maxillofacial surgeon practicing in Roseville, California. With over 25 years of experience and more than 10,000 successful procedures, he is one of Northern California's most trusted specialists in dental implants, corrective jaw surgery, and facial cosmetic surgery.
As a Diplomate of the American Board of Oral and Maxillofacial Surgery and fellowship-trained in complex implant reconstruction, Dr. Antipov brings an unmatched depth of expertise to every case. He is one of the few surgeons in Northern California who performs zygomatic implants for patients with severe bone loss, full arch All-on-4 and All-on-6 immediate-load protocols, complex orthognathic jaw surgery including Le Fort osteotomies, BSSO, and genioplasty, and advanced facial cosmetic procedures including rhinoplasty and face lift surgery.
Credentials & Affiliations
- Diplomate, American Board of Oral & Maxillofacial Surgery
- Fellowship-Trained in Complex Implant Reconstruction
- Member, American Association of Oral & Maxillofacial Surgeons (AAOMS)
- Member, American Dental Association (ADA)
- Member, Academy of Osseointegration
- Preferred Referral Partner for 100+ Northern California Dentists
- Advanced Training in 3D Computer-Guided Surgery
- Certified in IV Sedation & General Anesthesia
Dr. André-David
Kahwach, DDS, MD
Dr. André-David Kahwach brings a unique blend of surgical excellence, artistic vision, and global perspective to oral and maxillofacial surgery. He earned his dental degree with honors from UC San Francisco before completing his OMS training at Loma Linda University, where he also obtained his medical degree and advanced training in anesthesia.
With a passion for the full scope of oral and maxillofacial surgery, Dr. Kahwach is deeply committed to delivering exceptional care across cosmetic procedures, dental implants, facial trauma, and orthognathic surgery. His approach combines precision with creativity — an influence shaped not only by his surgical training, but also by his background in painting and sculpture.
Beyond the operating room, Dr. Kahwach has traveled extensively across Europe, Africa, the Caribbean, and the Middle East, strengthening his dedication to service through medical and dental mission work. Known for his approachable demeanor and commitment to excellence, he strives to ensure every patient feels confident, informed, and genuinely cared for.
Education & Training
- DDS, University of California, San Francisco (Honors)
- MD & OMS Residency, Loma Linda University
- Advanced Training in Anesthesia
- Full Scope Oral & Maxillofacial Surgery
- Dental Implants, Facial Trauma & Orthognathic Surgery
- Cosmetic Facial Surgery

Dual Degree
DDS & MD — UCSF & Loma Linda
Full scope oral and maxillofacial surgeon with advanced training in anesthesia. Specializing in dental implants, orthognathic surgery, facial trauma, and cosmetic procedures.
Our practice uses 3D cone beam CT imaging, computer-guided surgical templates, and minimally invasive techniques to deliver precise, predictable outcomes. We also offer organic and holistic bone grafting options for patients who prefer naturally derived materials. Every treatment plan is developed around your individual anatomy, goals, and timeline.
The Advantages of
Our Approach
When you choose Dr. Antipov for dental implants, jaw surgery, or facial cosmetic procedures, you are choosing a board-certified oral and maxillofacial surgeon with 25+ years of expertise, cutting-edge 3D technology, and a commitment to delivering the best possible outcomes at every stage of care.
Same-Day Teeth — Walk Out Smiling
Using the All-on-4 and All-on-6 immediate-loading protocols, Dr. Antipov places dental implants and attaches a full set of temporary teeth in a single visit. You arrive with missing or failing teeth and leave the same day with a complete, natural-looking smile. No waiting months without teeth.
Board-Certified Oral & Maxillofacial Surgeon
Dr. Antipov is a Diplomate of the American Board of Oral & Maxillofacial Surgery with over 25 years of surgical experience and 10,000+ successful procedures. He completed his residency and fellowship training at top-tier institutions, specializing in complex implant reconstruction, jaw surgery, and facial cosmetics.
Complete Care Under One Roof
3D cone beam CT imaging, fully equipped surgical suites, IV sedation, bone grafting, implant placement, and prosthetic restoration — all performed at our single Roseville location. No referrals, no bouncing between specialists. Your entire treatment journey from consultation to final teeth happens right here.
3D Computer-Guided Surgery
Every implant and jaw surgery case is planned using advanced 3D cone beam CT imaging and virtual surgical planning software. Computer-guided surgical templates ensure each implant is placed at the precise angle, depth, and position for optimal long-term results. This technology dramatically reduces surgery time and speeds recovery.
Organic & Holistic Bone Grafting
For patients who prefer a natural approach, Dr. Antipov offers organic and holistic bone grafting options using minimally processed, naturally derived materials. From autogenous bone grafts to biocompatible allograft and xenograft materials, we match the bone regeneration technique to your body and your values — without compromising clinical outcomes.
Comfortable IV Sedation & Anesthesia
Every surgical procedure is performed under monitored IV sedation or general anesthesia administered by trained professionals in our fully equipped surgical suites. You remain comfortable and relaxed throughout — most patients remember nothing at all. We prioritize your comfort and safety at every step of the process.
Flexible Financing — Starting at $99/Month
We believe everyone deserves access to life-changing dental care. Our practice offers flexible financing through multiple lending partners with options starting at $99/month. We accept all major insurance plans, PPO dental insurance, CareCredit, and offer interest-free payment plans to make dental implants, jaw surgery, and cosmetic procedures affordable.
Lifetime Results — Built to Last
Unlike bridges and dentures that need replacement every 5-10 years, titanium dental implants integrate permanently with your jawbone through osseointegration and are designed to last a lifetime. Our premium zirconia prosthetics are virtually indestructible, stain-resistant, and backed by a comprehensive warranty for lasting peace of mind.



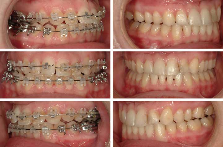
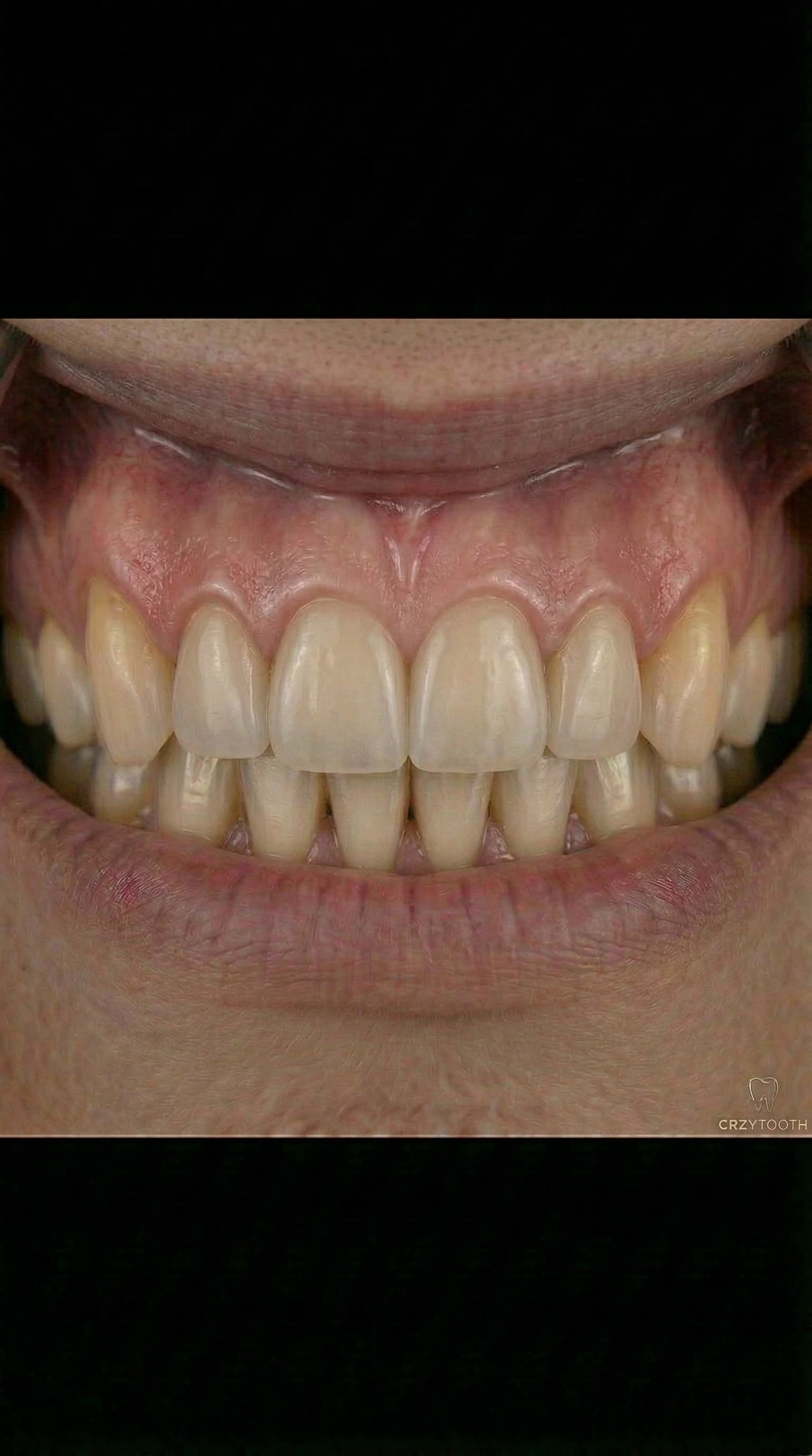
Before & After
Case Gallery
Review 50 real patient cases — including corrective jaw surgery, dental implants, and facial cosmetic procedures performed by Dr. Antipov.
Case 1
Corrective Jaw Surgery • Case 1 • 4 photos
Case 2
Corrective Jaw Surgery • Case 2 • 4 photos
Case 3
Corrective Jaw Surgery • Case 3 • 4 photos
Case 4
Corrective Jaw Surgery • Case 4 • 7 photos
Case 5
Corrective Jaw Surgery • Case 5 • 4 photos
Case 6
Corrective Jaw Surgery • Case 6 • 4 photos
Inside Our Practice
Browse images from our Roseville office, surgical procedures, and real patient experiences.
Featured Slides





Procedures






Video Testimonials






Trusted by Thousands of
Patients Across Northern California
Hear from real patients who chose Dr. Antipov for dental implants, jaw surgery, facial cosmetic procedures, and bone grafting. Patients travel from Sacramento, San Francisco, Reno, and beyond for his expertise.
“I had a single tooth extraction and implant placement. Everything was done in one day. The whole process was quick and painless. I'm very grateful to Dr. Antipov for his great work.”
Sarah M.
Single Tooth Implant
Roseville, CA
“I had large bone grafting with sinus lifts on both sides of the upper jaw with multiple implants and I got teeth in a day. Everything went very smoothly without any complications. Now look at my new smile!”
Michael R.
All-on-4 Full Arch Implants with Bone Grafting
Sacramento, CA
“Dr. Antipov and his team made me feel comfortable from the very first consultation. The results exceeded my expectations. I can finally eat my favorite foods and smile with confidence again.”
Linda K.
Full Mouth Restoration
Folsom, CA
“I flew from Honolulu to see Dr. Antipov because of his reputation for corrective jaw surgery. He performed Le Fort and BSSO to fix my severe underbite. The transformation is absolutely life-changing. Worth every mile traveled.”
Val M.
Orthognathic Jaw Surgery
Honolulu, HI
“After years of wearing dentures that would slip and cause embarrassment, Dr. Antipov gave me permanent teeth with the All-on-4 technique. The same day! I cried tears of joy in the parking lot. Best decision I ever made.”
Vadim S.
All-on-4 Same-Day Dental Implants
Citrus Heights, CA
“Dr. Antipov performed my rhinoplasty and the results are so natural — everyone says I look refreshed but no one can tell I had surgery. His understanding of facial bone structure as an oral surgeon gives him an incredible advantage.”
Chieko T.
Rhinoplasty
Yuba City, CA
“I was told by three other surgeons that I didn't have enough bone for implants. Dr. Antipov performed zygomatic implants and I walked out with teeth the same day. He literally changed my life when no one else could help me.”
Robert J.
Zygomatic Implants — Full Arch
Reno, NV
“My daughter had corrective jaw surgery for her open bite and facial asymmetry. Dr. Antipov used 3D computer planning and the results were beyond what we imagined. Her confidence has skyrocketed. We're so grateful.”
Evelina C.
Corrective Jaw Surgery — Le Fort & Genioplasty
Citrus Heights, CA
“I chose Dr. Antipov for my All-on-6 implants because he uses organic bone grafting materials. The holistic approach was very important to me. The surgery was comfortable under IV sedation and my new teeth look absolutely beautiful.”
Patricia L.
All-on-6 Implants with Organic Bone Grafting
Walnut Creek, CA
Answers to Your
Most Common Questions
Find answers about dental implants, All-on-4, zygomatic implants, jaw surgery, bone grafting, facial cosmetic procedures, costs, financing, and more.
Still have questions? We're happy to help.
Dental Emergency? We Can Help.
Broken tooth, dental trauma, severe pain, or jaw injury? Contact our Roseville office immediately. Same-day emergency appointments available.
A Modern Surgical Facility
Our Roseville office features cone beam CT imaging, dedicated surgical suites, comfortable recovery areas, and the latest sterilization technology — all designed with your safety and comfort in mind.
Full Arch Dental Implants &
Oral Surgery Near You
Dr. Alexander Antipov provides full arch dental implants, organic bone grafting, corrective jaw surgery, and facial cosmetic procedures to patients across Northern California and Northern Nevada. Our main office in Roseville, CA is within a 3.5-hour drive of over 157 cities — from Redding to Fresno, San Francisco to Reno.
3.5-Hour Service Radius
157+ cities • 2 states • 12M+ residents
Main Office: 911 Reserve Dr, Suite 150, Roseville, CA 95678
Procedures Available at Our Roseville Office
Full Arch Dental Implants
Permanently replace an entire arch of missing or failing teeth in a single visit. Our full arch dental implant procedure uses four to six strategically placed titanium implants to support a fixed, non-removable bridge — giving you a complete, natural-looking smile the same day.
Organic & Holistic Bone Grafting
Dr. Antipov offers organic and holistic bone grafting solutions using biocompatible, minimally processed human donor tissue and advanced growth factors. Unlike synthetic alternatives, our organic bone grafts integrate naturally with your existing bone, creating a strong foundation for dental implant placement — even in patients with significant bone loss.
Full Mouth Restoration
For patients with extensive dental damage, decay, or tooth loss, our full mouth restoration combines dental implants, bone grafting, and prosthetic design to completely rebuild your smile. Dr. Antipov uses cone beam CT imaging and computer-guided surgical planning to deliver predictable, life-changing results.
Immediate Load Implants
Walk in with missing teeth and walk out with a brand-new smile — all in a single appointment. Our immediate load implant protocol allows Dr. Antipov to place implants and attach fully functional temporary teeth the same day, eliminating the months-long wait associated with traditional implant procedures.
Cities We Serve for Dental Implants & Oral Surgery
Patients travel from across Northern California and Nevada for Dr. Antipov's expertise in full arch dental implants, organic bone grafting, and corrective jaw surgery. Find your city below.
Sacramento Metro
24 cities- RosevilleMain Office
- Sacramento20 min
- Folsom20 min
- Rocklin8 min
- Lincoln15 min
- Granite Bay10 min
Yuba-Sutter & Butte County
11 cities- Yuba City40 min
- Marysville35 min
- Wheatland25 min
- Live Oak50 min
- Gridley55 min
- Oroville1 hr 10 min
North State & Shasta County
9 cities- Redding2 hr 40 min
- Anderson2 hr 30 min
- Shasta Lake2 hr 45 min
- Red Bluff2 hr 10 min
- Corning2 hr
- Willows1 hr 40 min
Lake Tahoe & Sierra
9 cities- Truckee1 hr 30 min
- Tahoe City1 hr 40 min
- Kings Beach1 hr 45 min
- South Lake Tahoe2 hr 10 min
- Incline Village, NV1 hr 50 min
- Jackson1 hr
Reno & Northern Nevada
9 cities- Reno, NV2 hr 10 min
- Sparks, NV2 hr 15 min
- Carson City, NV2 hr 30 min
- Fernley, NV2 hr 45 min
- Dayton, NV2 hr 40 min
- Minden, NV2 hr 45 min
San Francisco & Peninsula
12 cities- San Francisco1 hr 45 min
- Daly City1 hr 50 min
- South San Francisco1 hr 50 min
- San Bruno1 hr 55 min
- Millbrae1 hr 55 min
- Burlingame2 hr
Why Patients Choose Dr. Antipov for Full Arch Dental Implants
If you are searching for full arch dental implants near me, All-on-4 dental implants, or a same-day teeth procedure in Northern California or Nevada, Dr. Alexander Antipov's practice in Roseville, CA offers the expertise, technology, and results you deserve. With over 25 years of experience and more than 10,000 patients treated, Dr. Antipov is one of the most experienced oral and maxillofacial surgeons in the region for full mouth dental implant restoration.
Unlike dental implant centers that rely on general dentists, Dr. Antipov is a board-certified oral and maxillofacial surgeon who personally performs every procedure — from the initial cone beam CT scan and treatment planning to implant placement, organic bone grafting, and final prosthetic delivery. This means your entire treatment stays under one roof with one surgeon, eliminating the complexity of being referred between multiple providers.
Our organic and holistic bone grafting program sets us apart from other implant centers. We use biocompatible, minimally processed human donor tissue combined with advanced platelet-rich growth factors to naturally regenerate bone in the jaw. This approach is ideal for patients who prefer natural bone graft materials over synthetic alternatives, or for those with severe bone loss who have been told they are not candidates for dental implants elsewhere.
Patients travel to our Roseville office from Sacramento, San Francisco, Oakland, San Jose, Reno, Stockton, Modesto, Fresno, Redding, Chico, Napa, Santa Rosa, and over 180 other cities across California and Nevada. We offer free consultations that include a complimentary cone beam CT scan, a personalized treatment plan, and a review of your financing options — all at no cost or obligation.
Whether you need full arch dental implants, All-on-4 or All-on-6 implant-supported teeth, immediate load same-day implants, holistic bone grafting, corrective jaw surgery, or wisdom teeth removal, Dr. Antipov and his team deliver life-changing results with the precision and care that only a board-certified oral surgeon can provide. Dental implant financing is available through multiple lending partners, making treatment accessible regardless of budget.
Free CT scan included • No obligation • Financing available
Visit Our Offices
Our main practice is in Roseville, CA, with an additional location in the San Francisco Bay Area. Virtual consultations are available for patients anywhere in the world.




Refer a Patient to
Dr. Antipov
Over 100 dentists and orthodontists across Northern California trust Dr. Antipov for their most complex surgical cases — from full arch dental implants and zygomatic implants to orthognathic jaw surgery and bone grafting. We make the referral process seamless and keep you informed every step of the way.
Whether your patient needs All-on-4 implant placement, sinus augmentation, wisdom teeth extraction, TMJ treatment, or corrective jaw surgery, we provide the surgical expertise while you maintain the restorative relationship. Download our referral form or call us directly to discuss a case.
Streamlined Referral Process
Submit referrals online, by fax, or by phone. We confirm receipt within 24 hours and schedule your patient promptly.
Detailed Reports & Communication
You receive comprehensive post-operative reports, treatment summaries, and imaging results for every referred patient.
Co-Treatment Planning
Dr. Antipov works closely with referring dentists and orthodontists on complex cases including implant placement, jaw surgery, and prosthetic planning.
Patients Return to Your Care
After surgical treatment is complete, we return patients to your practice for restorative work, ongoing care, and follow-up.
News, Research & Education
Stay informed with articles on dental implants, jaw surgery, facial cosmetic procedures, and the latest advances in oral and maxillofacial surgery from Dr. Antipov.


Facial Feminization Surgery

Botox & Dermal Fillers

Rhinoplasty Procedures

BSCOSO Summer Course

Oral Cancer Awareness

Wisdom Teeth: What You Should Know

Post-Op Patient Recovery

TMJ Disorders Explained

Face Touch Up App

Baltic Sea Oral Surgery Conference

Sacramento Study Clubs Speaker

Russian Time Magazine Feature
Patient Forms & Publications
Save time at your appointment by downloading and completing patient forms in advance. Browse our educational guides on dental implants and orthognathic surgery.

All-on-4 Dental Implants
A comprehensive guide for doctors and patients planning dental implant procedures with immediate loading.
Download PDF
Orthognathic Surgery
Educational resource covering corrective jaw surgery procedures, planning, and expected outcomes.
Financing Available
We offer flexible financing options to make your treatment affordable. Get pre-approved today.



General Forms



Take the First Step
Toward Your New Smile
Schedule your free consultation with Dr. Antipov today. Every visit includes a complimentary 3D cone beam CT scan, a detailed treatment plan for dental implants, jaw surgery, or facial cosmetic procedures, and a review of your financing options — all at no cost and no obligation.
Free 3D CT Scan • No Obligation • Flexible Financing Available • Roseville, CA
Book Your
Free Consultation
Ready to explore dental implants, jaw surgery, or cosmetic procedures? Contact our Roseville office to schedule a complimentary consultation with Dr. Antipov — including a free CT scan and personalized treatment plan.
Free Consultation Assessment
No pressure · No cost · Includes 3D CT Scan
Step 1 of 4
Do any of these apply to you?
Select all that apply
Do you currently have any of the following?
Select all that apply
By clicking "Next," you consent to receive calls, texts, and emails from Dr. Antipov's practice regarding your inquiry and related promotions. Message and data rates may apply. You can opt out anytime by replying STOP or following the unsubscribe link. By proceeding, you agree to our Privacy Policy and Terms of Service.
